Frenectomia: O que é e Como Pode Ajudar na Saúde Bucal
A frenectomia é um procedimento cirúrgico que visa a remoção do freio da boca. Esse “freio” é uma fina prega de tecido fibroso que, quando encontrado em excesso na boca, pode ser removido por meio dessa intervenção cirúrgica.
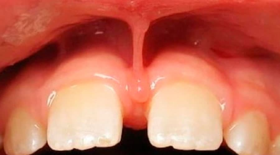
Existem dois tipos básicos de freio: o lingual e o labial.
- Freio Lingual: Localizado entre a base da língua e o assoalho bucal, o freio lingual, quando exageradamente grande, pode causar o que chamamos de “língua presa” (anquiloglossia), prejudicando os movimentos da língua.
- Freio Labial: Encontrado na arcada superior, conecta o tecido gengival ao lábio. Se essa membrana for muito larga ou longa, pode afetar o espaçamento entre os dentes da frente.
Indicações da Frenectomia
A remoção parcial ou total do freio é indicada para solucionar problemas e melhorar a estética do sorriso. A cirurgia pode ser realizada por um dentista generalista, cirurgião-dentista ou outro especialista, pois é considerada simples. O objetivo é permitir movimentos adequados da língua, fala e deglutição.
Como é Feita a Cirurgia de Frenectomia?
A cirurgia de frenectomia é um procedimento simples e pode ser executada de duas maneiras:
- Técnica Convencional:
- Utiliza um bisturi normal para cortar ou dividir o freio, seja ele lingual ou labial.
- Após o corte, os tecidos moles são suturados com pontos reabsorvíveis ou não reabsorvíveis.
- Os pontos reabsorvíveis devem ser removidos após 7 a 10 dias.
- Técnica a Laser:
- Substitui o bisturi convencional pelo bisturi elétrico.
- Reduz o tempo da cirurgia, coagulando e esterilizando o sangue imediatamente após o corte.
Pós-Operatório e Benefícios
- O pós-operatório envolve visitas regulares ao dentista.
- A frenectomia melhora os movimentos da língua, fala, deglutição e estética do sorriso.
Cirurgia da Filha de Neymar
A filha de Bruna Biancardi e Neymar, a pequena Mavie, de 5 anos, passou por uma frenectomia lingual, ou seja, a remoção do freio da língua. Esse procedimento é comum e visa resolver problemas relacionados ao tamanho excessivo dos frênulos. É importante esclarecer que a cirurgia é indolor e realizado com anestesia local.
Lembre-se sempre de consultar um profissional de saúde bucal para avaliar a necessidade e os benefícios da frenectomia em casos específicos. Afinal, um sorriso saudável é fundamental! 😁
